Malformasi Chiari adalah sekelompok kelainan dimana sebagian serebelum, ventrikel IV, dan pons mengalami herniasi ke bawah. Keadaan ini pertama kali dilaporkan oleh H.Chiari tahun 1890.
Malformasi ini dibedakan tiga tipe, I,II,dan III.
- Malformasi Chiari tipe I
è Elongasi tonsil serebelum ke kaudal (bersama dengan medulla oblongata) masuk kedalam kanalis servikalis
è Jarang sampai dibawah servikal 2
è Tidak berkaitan dengan meningokel
è Hidrosefalus dijumpai pada < 10% kasus
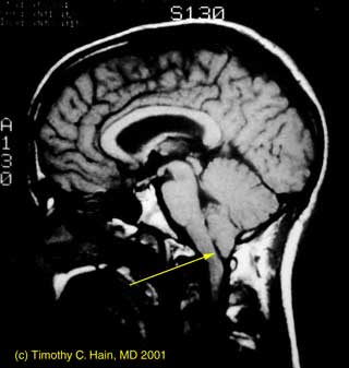
Pergeseran tonsil serebelum kebawah melewati foramen magnum. Biasanya batang otak masih tetap dalam posisi yang normal yang pada sebagian besar pasien dan kerap disertai dengan adanya SIRINGO(HIDRO)MIELIA
Manifestasi klinisnya terdiri dari campuran manifestasi klinis siringo(hidro)mielia (skoliosis, disosiasi sensorik sensasi nyeri atau temperature, disestesia ekstrimitas, kekakuan tungkai, inkontinensia urine, kelemahan motorik), gejala gangguan batang otak (28%)(nyeri leher/kepala, suara serak, disfungsi palatum, atrofi lidah, dan fasikulasi, disfagia, hiccups, disritmia respirasi, disartria) dan gejala gangguan serebelum yang tertekan (8%)(ataksia, nistagmus).
Diagnosis dapat ditegakan dengan mudah oleh pemeriksaan sken resonansi magnet (MRI). Pilihan tindakan terapi baginya adalah pemantauan klinis lanjutan dan intervensi bedah. Kasus yang mengalami progresivitas gejala atau gangguan klinis yang bermakna, baru merupakan indikasi untuk operasi. Tindakan operasi yang dilakukan biasanya adalah Kraniektomi fosa posterior, dan laminektomi servikal untuk dekompresi.
- Malformasi Chiari tipe II
è Pergeseran kaudal dari vermis serebelum dan bagian bawah batang otak ke dalam kanalis servikalis.
è Biasanya sampai di bawah servikal 2
è Biasanya disertai dengan anomaly multiple dari fosa posterior dan serebral
è Selalu ada hidrosefalus
è Kerap disertai dengan mielomeningokel
Pergeseran ke kaudal dari vermis serebelum dan batang otak bagian bawah pada malformasi tipe ini hampir semuanya disertai dengan mielomeningokel dan kebanyakan juga mengalami dismorfi berat dari bagian otak maupun medulla spinalis. Gejala klinis yang tampil adalah sesuai dengan gangguan fungsi struktur yang terlibat, yaitu gangguan medulla spinalis (48%)(spastisitas, ekstrimitas atas, disosiasi sensorik sensasi nyeri atau suhu, kelemahan ekstrimitas atas dan atrofi otot), gangguan batang otak (45%)(disfagia, suara menjadi sengau, kelemahan palatum, pneumonia aspirasi, refluks gastrointestinal, opistotonus, apnea sentral, tangisan melemah, parase abdusen) dan gangguan serebelum (7%) (Ataksia trunkal, nistagmus). Diagnostik terpilih adalah MRI.
Operasi yang dilakukan adalah dekompresi laminektomi pada daerah dimana vermis tergeser, biasanya mencapai level servikal 4. Indikasi operasi dekompresi pada kasus-kasus malformasi Chiari tipe II :
a. Spastisitas ekstrimitas atas yang berat atau progresif
b. Ataksia trunkal dan atau apendikular yang hebat atau progresif
c. Aspirasi pneumonia yang rekuren akibat disfungsi palatal atau refluks gastrointestinal
d. Apnea sentral dengan atau tanpa sianosis terutama sewaktu tidur
e. Opistotonus yang hebat
- Malformasi Chiari tipe III
è Prostusio suatu kantong dari “craniovertebral junction” yang berisi sebagian serebelum dan batang otak
è Biasanya berkaitan dengan hidrosefalus
Biasanya tipe ini mempunyai tampilan deficit neurologic yang berat. Kelainannya berupa suatu kantong yang keluar dari bagian atas servikal atau oksipital, yang didalamnya mengandung komponen serebelum dan batang otak. Terapi operasi ditujukan untuk melakukan eksisi dari kantong ini, membenahi jaringan saraf di fosa posterior dan mereparasi duramater dan kulit diatasnya. Bila ada hidrosefalus yang progresif dilanjutkan dengan operasi pintas ventrikulo-peritoneal.
- Malformasi Chiari tipe IV
è Hipoplasia berat atau aplasia serebelum
è Tidak terdapat herniasi serebelum, sehingga tak lagi dimasukan dalam tipe Malformasi Chiari
Daftar Pustaka :
Satyanegara. Ilmu Bedah Saraf Edisi IV. Jakarta : Gramedia. 2010

Tidak ada komentar:
Posting Komentar